Activité 7 : Le vivant au microscope
Introduction
Remarque :
Quelle est la structure microscopique COMMUNE des êtres vivants ?
❤️ BILAN :
Tout être vivant est constitué d’au moins une cellule[1].
On distingue les unicellulaires (tout l’être vivant est composé d’une seule cellule), des pluricellulaires (composés de millions de cellules).
Malgré des aspects divers, une cellule est toujours composée d’un noyau et de cytoplasme entourés par une membrane.
Complément : D’autres exemples de cellules (chez l’humain cette fois !)
En faisant défiler les images, on peut observer :
Des cellules de la trachée (voies respiratoires)
Des cellules de la peau
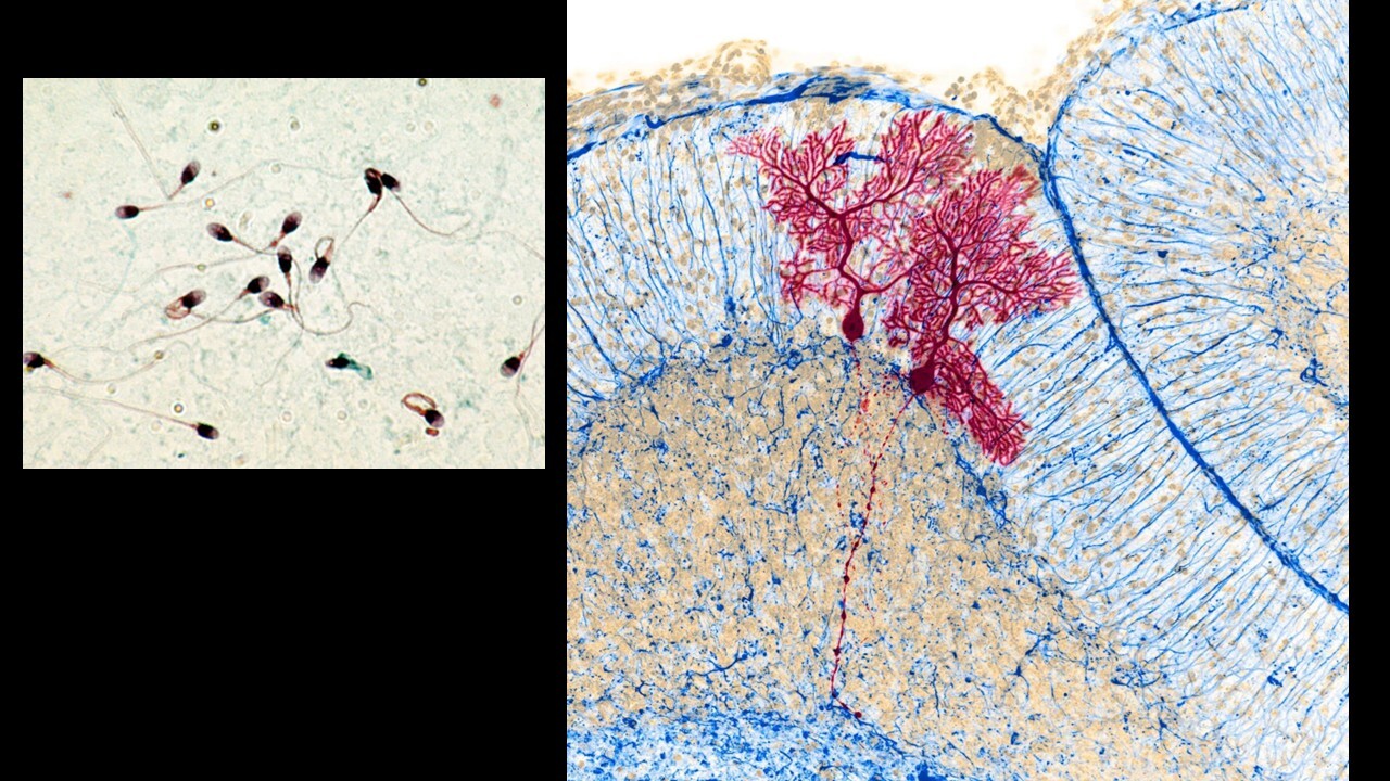
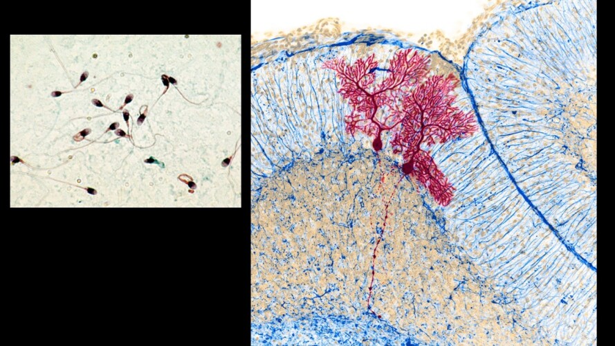
Des cellules reproductrices (à gauche) et des cellules du cerveau (à droite)
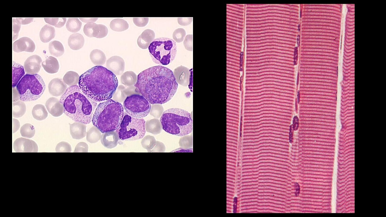
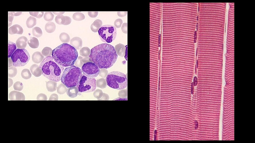
Des cellules du sang (à gauche) et des cellules de muscle (à droite)
